Description

Le Laboratoire central d’échographie cardiovasculaire offre une expertise reconnue en analyses standardisées d’imagerie cardiaque. Grâce à une équipe de technologues spécialisés et à des protocoles harmonisés, le laboratoire assure la réalisation et l’interprétation des échocardiogrammes tant en recherche clinique que fondamentale. Il accompagne des projets de recherche multicentriques en garantissant la rigueur, la reproductibilité et la qualité des données générées.

Responsables

Dr Jean-Claude Tardif, cardiologue

Dre Christine Henri, cardiologue

Services offerts et expertises

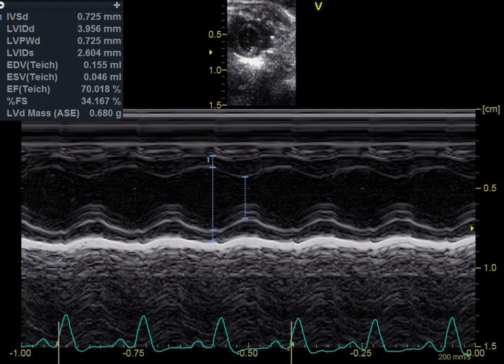
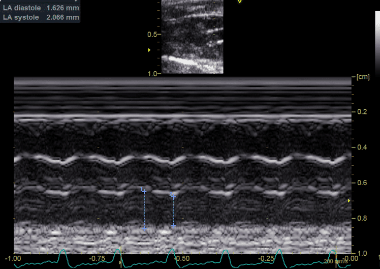
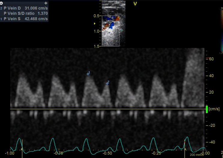
  • Analyses standardisées d’échocardiogrammes cliniques selon les protocoles de recherche établis, incluant :
    • fonction ventriculaire systolique;
    • fonction ventriculaire diastolique;
    • évaluation des valves cardiaques;
    • évaluation des chambres cardiaques;
    • analyse des déformations cardiaques (strain).
  • Recherche clinique : réalisation d’échocardiogrammes dans le cadre de projets de recherche clinique.
  • Recherche fondamentale : imagerie et analyses standardisées des images d’échocardiographie produites dans des modèles précliniques.

Contributions à la recherche

  • Au cours des 25 dernières années, l’équipe du Laboratoire central d’échographie cardiovasculaire du Centre de recherche a activement contribué à de nombreux projets, en collaboration avec des chercheurs, des équipes de l’ICM et des entreprises privées.
  • Nos contributions ont été largement reconnues et citées dans diverses publications, tant en recherche fondamentale qu’en recherche clinique.
  • Forte d’une équipe de professionnels hautement qualifiés, notre expertise en échocardiographie cardiaque (tant humaine que fondamentale) ainsi qu’en recherche est combinée à notre excellente fiabilité, notre capacité à gérer de nombreuses études avec haute qualité et rigueur, et un long historique de collaborations variées. Cette expertise, acquise au fil du temps, nous permet de mener à bien des projets ambitieux et de grande envergure.

Pour nous joindre

Coordonnatrice : Colombe Roy

Courriel: colombe.roy@icm-mhi.org

Téléphone : 514 376-3330, poste 3495